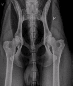
Overgangsvirvel "Lumbosacral transitional vertebrae, LTV"
Ved HD-avlesning har NKK sine avlesere de siste årene gitt opplysning om overgangsvirvel i nedre del av ryggen hvis dette påvises samtidig med screening for hofteleddsdysplasi (HD). Diagnosen blir vedlagt svarbrevet fra NKK. Overgangsvirvel er en medfødt misdannelse i en av ryggvirvlene. Misdannelsen kommer i overgangen mellom ryggsegmentene (nakke-bryst, bryst-lenderygg, eller lenderygg-korsbein), derav navnet overgangsvirvel. En overgangsvirvel ser ut som en blanding av to typer ryggvirvler. Noen ganger er overgangsvirvelen symmetrisk, andre ganger usymmetrisk og kan gi skjevheter i ryggen. En overgangsvirvel har som regel ingen klinisk betydning for hunden. I enkelte tilfeller kan imidlertid misdannelsen føre til at nervene nederst i ryggen kommer i klem, noe som vil gi symptomer som ryggsmerter eller halting.


Overgangsvirvel er en medfødt misdannelse som forekommer på flere raser, inkludert engelsk setter. Veterinær Jon Andre Berg ved AniCura Jeløy dyresykehus jobber med en doktoroppgave på temaet overgangsvirvel med bruk av data fra NKK, veileder er professor Frode Lingaas. Man vet ikke med sikkerhet hvor stor belasting dette gir hundene, men dette er noe som forskingsprosjektet skal prøve å avdekke. Overgangsvirvel forekommer også på mennesker og ifølge legeforeiningen så har 5-10% av befolkningen i Norge dette. De fleste mennesker som er berørt, vet ikke om at de har det. Jon Andre Berg skal se på rasene Breton og Norsk Elghund Sort. Tall i 2019 viser at mellom 5-10% av Norsk Elghund Sort og 11% av Breton har fått konstatert en overgangsvirvel i forbindelse med HD rtg. NESK håper dette doktorgradsarbeidet kan gi mer informasjon om lidelsen når den blir publisert. Mer om selve overgangsvirvel prosjektet er beskrevet på Breton sidene i Fuglehunden 2 / 2022.
NKK begynmte å loggføre hunder som får denne lidelsen juni 2019. Det er ikke alle HD-bilder som også vil kunne avlese for overgangsvirvel. Eksempelvis hvis hunden har avføring i tarmen, kan dette kamuflere forekomsten av overgangsvirvel, som kan føre til noe underrapportering av forekomsten. Til nå har det blitt avlest overgangsvirvel på 1438 engelske settere hvorav 28 har fått på det påvist. Det innebærer at 1,9 % av avleste hunder har fått påvist overgangsvirvel. På 101 hunder var det ikke mulig å lese av overgangsvirvel da hunden hadde avføring i tarmen, noe som utgjør 7% av hundene. En får ikke avleste alle hundene og det vil være en underrapportering av overgangsvirvel.
Hvordan de avleste hundene som hadde overgangsvirvel fordeler seg i forhold til fødselsår er vist i figuren nedenfor.

NESK ønsker ikke at overgangsvirvel skal øke i forekomst. Basert på den informasjonen vi har per i dag anbefaler ikke NESK å avle på individer som har en medfødt arvelig defekt. Hvis en velger å bruke hunder med overgangsvirvel i avl viser vi til informasjonsskrivet som følger med svarbrevet fra NKK hvor det står at hvis en velger å bruke en hund med overgangsvirvel i avl bør den brukes med forsiktighet (dvs. ikke få spesielt mange avkom), og partneren bør komme fra linjer som ikke har samme misdannelse. Til nå har 28 engelsksettere fått påvist overgangsvirvel, 5 av disse hundene har avkom etter seg. Blant disse er en hannhund med flere paringer etter seg. NESK oppfordrer sterkt til å HD røntget samtlige avkom etter hunder med overgangsvirvel for å avdekke om avkom får den samme misdannelsen. Vi anbefaler også at samtlige avkom i et kull hvor det er påvist overgangsvirvel røngtes for å kartlegge om det er flere i kullet.
Per dags dato står det om hunden har overgangsvirvel på side 3 i svarbrevet med HD resultater fra NKK, etter en blank side 2. NESK skal sende en henvendelse til NKK hvor det oppfordres til å synliggjøre diagnosen på første side i svarbrevet.



